|
Vertigo a oči???
|
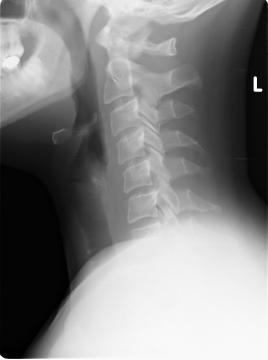
Pro větší náhled klikněte na obrázek
pierre29 - 9.8.2012 7:25:21 Dobrý den,před měsícem jsem prodělal polohové vertigo při obracení v posteli na levý bok, vertigo trvalo cca 1-2 min. a bylo provázeno pocitem na zvracení a trošku zvracením a rozmazaným viděním, druhý den se mi stalo totéž (bez zvracení) při otočení na levý a po chvíli znovu i na pravý bok. Byla mi provedena různá vyšetření na ORL a neurologii (CT, lumbální punkce, EEG, evokované potenciály VEP a BAEP, polohové testy a nic nemylo nalezeno). Ve výsledcích vyšetření mám nystagmus=0, testy na BPPV negativní). Byl jsem propuštěn s tím, že jde o suspektní polohové vertigo a budu několik týdnů užívat lék Betaserc. Na neurologii mi bylo řečeno, že to je vše a že jsem neurologicky i objektivně zdravý. Závrať se již nevrátila, nicméně od té doby se mi několikrát denně stane, že mám při čtení nebo např. koukání na televizi pocit, že mi trošku škubnou/mírně ujedou oči doleva a při tom mnou projede teplo do žaludku (něco jako leknutí) a někdy mi při tom bouchne silně srdce. Nejsem si jist, zda se tak děje najednou nebo je nejdřív pohyb očí a až potom projetí tepla a bouchnutí. Určitě bych měl také uvést, že jsem před třemi roky měl problémy s úzkostmi a beru lék elicea. Od chvíle, co ho užívám jsem ale žádné problémy nepociťoval a normálně funguji. Vím, že neznáte konkrétní případ, ale zajímal by mne spíše Váš názor: 1) může být příčinou pocitů v očích (a případně i vertiga) páteř? (dle rtg mám plně vyhlazenou krční a bederní lordózu a počínající změny na obratlích c2 a c3 viz přiložený rtg), 2) může být příčinou pocitů v očích psychika a stres? (od chvíle hospitalizace jsem neustále ve strachu, že může jít o nádor na mozku, protože příliš nevěřím, že jsem zdraví, když mám ony pocity v očích). Děkuji předem za Váš čas a případnou odpověď.Petr
|
Odpověď zdravotníka na dotaz: Vertigo a oči???
Dobrý den pane Petře, mozkový nádor určitě nemáte, protože by byl vidět na CT. Páteř jako příčinu problémů s očima nevidím, protože chybí další symptomy (tlak za očima, únava, a další...). Nadruhou stranu psychika je možnou příčinou, a byla by vhodná kontrola u ošetřujícího specialisty. Pro svůj klid navštivte ještě oftalmologa pro změření nitroočního tlaku a vyšetření skrytého šilhání. Ale myslím, že nález bude v normě.
|
Odpovědi návštěvníků stránek:
el25 - 23.8.2012 10:59:51 Zdravím, ja som pred nejakým časom mala niečo podobné, 5 dňové vertigo, nemohla som sedieť, chodiť, jednoducho hýbať sa, ešte aj keď som ležala mi bolo hrozne a tak som spala celé dni, nedokázala som dojsť ani ku doktorke, a neskôr na pohotovosť bez toho aby som zvracala. Samozrejme, že dokotori mi absolútne ani nič nepovedali, dali mi infuziu, ktorá mi vôbec nepomohla, každý mi pichol nejaku injekciu, a stále nič. Nakoniec som sa rozhodla, že sa objednám k masérovi, pretože veľa takýchto vecí súvisí aj s chrbticou, tento masér mal naozaj zlaté ruky, na druhý deň som mohla sedieť, mohla som sa najesť, išla som k nemu ešte aj na druhý deň a o pár dní sa mi začalo uľavovať. Nikto mi nič nepovedal, akurát masér, ktorý povedal, že som mala niečo niekde zaseknuté v niektorom stavci, (samozrejme, že to povedal odbornejšie), takže ak tak nemáte náhodou problémy s chrbticou?
Máte zdravotní problémy? Sdělte nám své příznaky - Pomůže vám naše poradna.
|
Diskuze: otázky a odpovědi, zkušenosti a poradenství k Vertigo a oči???
Nový komentář k Vertigo a oči???
| Předmět: Dotaz | | Datum: 05.01.2023 10:52:41 | Autor: Blanka | | Pierre29 potřebovala bych zjistit, jak jste na tom teď, mám úplně to stejné jako vy před x lety a chtěla bych vědět, jaké jdou vyhlídky, jestli se z toho člověk nějak dostane. Děkuji | | Odpovědět |
Vaše zkušenost/Komentář/Dotaz týkající se Vertigo a oči???
|
NEPOSKYTUJEME ZDRAVOTNÍ PORADENSTVÍ.
Naše online poradna je určena pro všechny pacienty,
užívající některý z léčivých přípravků, pouze pro obecné informační účely.
Poradna v žádném případě neslouží jako náhrada odborné lékařské péče.
Poradna pomáhá se správným užíváním léčivých přípravků,
odhalit vzájemnou nesnášenlivost léčiv, při snížení výskytu nežádoucích,
vedlejších účinků léčiv a jako osvěta a zdroj informací.
Pokud si myslíte, že potřebujete lékařkou pomoc, okamžitě zavolejte svého lékaře nebo vytočte číslo 155.
|
|
|
|
|
| Aktuální diskuze - LÉKY |
Nejnovější příspěvky v diskuzi:
Prestance 5mg/5mg - PRESTANCE 5 MG/5 MG 20 Tablety Vložil: Jiří 2026-02-17 10:38:29
Dobrý den,
mohu brát idoplněk stravy DIABEN na stabilizaci krevního cukru, který bohužel obsahuje skořici ? Někde jsem četl, že skořice vadí PRESTANCE.
Díky za vysvětlení.Jirka... Zaldiar 20 neblahe ucinky - ZALDIAR 20 Potahované tablety Vložil: Markéta 2026-01-08 05:23:22
Měla jsem Zaldiar 20 po něm jsem mela akorát těstoviny s míchaných vajíčky šunkou parmezanem, po tem jsem vlezla do vany okamžitě se mi udělala vyrážka od kolen dolů která neskutečně pálila musela jsem z vany vylest bolesti sem brečela cítila jsem jak mi nohy... Houbove quarteto - TEREZIA COMPANY Houbové quarteto 100% houbový přípravek 60 kapslí Vložil: Katka Mašková 2025-11-24 17:28:12
Dobrý den,
Ráda bych se zeptala, zda je vhodné brát houbove quarteto s antidepresivy.
Děkuji velice ... Afluditen - AFLUDITEN 25 MG/ML 5X1ML/25MG Injekční roztok Vložil: Andrea Krulová 2025-11-12 12:05:01
Dobrý den můžu vědět jak přesně vám zničil život ? Protože mojí mamce taky,děkuji moc za odpověď ... Dávkování - SYNULOX 250 A.U.V. TBL 500 Vložil: Markéta 2025-11-02 16:45:21
Dobrý den, můj pes dostal antibiotika Synulox 250mg. První dávku dostal v 12h další v 24h. Je možné dávkování převést na 6:30h a 18:30h bezpečné jednorázově? Jestezbere večer Medrol.
Děkuji za odpověď.... |
| Aktuální diskuze - NEMOCI |
Nejnovější příspěvky v diskuzi:
akné na penisu - Pupínky u ochlupení Vložil: Luboš 2025-11-29 18:24:24
Akné a folikulitidou trpím dlouhodobě, lékaři odmítají řešit příčinu, to nemá smysl. Ale na penisu se mi dříve pupínky objevily vždy pouze po holení. Nyní jsem se dlouho neoholil a z ničeho nic se mi objevil na údu malý bílý pupínek s lehce červeným oko... Dostal som od Dr. Sacreho najlepší liek na zväčšenie penisu a problémy s neplodnosťou. - Prodloužení penisu Vložil: Jones 2025-08-15 14:55:53
Dostal som od Dr. Sacreho najlepší liek na zväčšenie penisu a problémy s neplodnosťou.
Pán Jones, som veľmi ohromený výsledkami bylinného lieku Dr. Sacreho! Môj penis je viditeľne väčší a hrubší a moja sebadôvera v spálni prudko vzrástla. Zlepšenie môj... Červené boláčky - Vyrážka / bradavičky na žaludu Vložil: Oto12 2025-05-28 01:00:42
Dobrý den,uz delší dobu se mi dělají červené pupínky boláčky nijak nebolí a necítím je.
Po pohlavním styku mam žalud načervenaly a pupínky jsou výraznější zenu po pohlavním styku nic ne náplní nesvědi žádné problémy nema dekuji za odpověď ... - Cysta na mozku miminka? Vložil: Monika Kelnarova 2025-05-02 17:07:13
Dobry den,chci se zeptat na ultrazvuku mi zjistili ze miminko ma na mozku cystu choroidalniho plexu v levo i vpravo,se chci zeptat co to znamena a zda za jak dlouho to zmizi a zda to neni vazny děkuji Kelnarova ... Výrůstky - Hirsuties papillaris/HPV Vložil: Martin 2025-04-21 16:18:15
... |
|