|
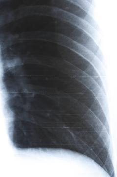
RTG snímek po úrazu
|
Pro větší náhled klikněte na obrázek
3690XU1 - 16.1.2015 10:35:16 Dobrý den, už celé hodiny hledám lékařskou poradnu online, kde je možné odeslat z otázkou i obrázek. Chtěl bych Vás poprosit o přezkoumání snímku. RTG vzniklo po sedmi dnech úrazu. Smik jsem se na zamrzlé kaluži a měl jsem přitom ruku v kapse. Můj ošetřující lékař mi tvrdí, že na snímku je vše OK, přičemž snímek studoval 4 sekundy. Já se vůbec necítím že by bylo všechno v pořádku.POZNÁMKA: Snímek je na klasickém Filmovém materialu. Tento obrázek jsem získal pomocí silného zábleskového svetla. Píšu to proto, aby jste do úvahy vzali skutečnost, že to není originál. Podezřelé místo jsem vyfotografoval z blízka a zvýšil kontrast aby bylo možné vidět lépe tuto konkrétní část. Srdečně Vám děkuji za odpověď. Jaro.
|
Odpověď zdravotníka na dotaz: RTG snímek po úrazu
Dobrý den, bohužel nejsem ortoped ani rentgenolog (a ani nikoho takového v poradně nemáme), ale z mého "laického" pohledu se mi nezdá horní okraj předposledního zobrazeného žebra - vypadá, že je nalomené. Co se týká odborného pohledu, je v podstatě jedno, zda-li jsou žebra naražená nebo zlomená (nalomená), protože léčba je stejná - klidový režim, co nejméně hýbat hrudníkem, tišení bolestí analgetiky. Zlomená žebra se do sádry nedávají, ani nijak nefixují. Všeobecně je známé pravidlo, že naražená žebra bolí více a déle než zlomená.
|
Odpovědi návštěvníků stránek:
3690XU1 - 16.1.2015 22:50:47 Velmi pěkně Vám děkuji. Vaše Analýza poškození skeletu je shodná z mojí teorií.Ještě jednou moc děkuji. Jaro
Máte zdravotní problémy? Sdělte nám své příznaky - Pomůže vám naše poradna.
|
Diskuze: otázky a odpovědi, zkušenosti a poradenství k RTG snímek po úrazu - Diskuze je prázdná – vložte svou zkušenost nebo vložte svůj dotaz jako první
Vaše zkušenost/Komentář/Dotaz týkající se RTG snímek po úrazu
|
NEPOSKYTUJEME ZDRAVOTNÍ PORADENSTVÍ.
Naše online poradna je určena pro všechny pacienty,
užívající některý z léčivých přípravků, pouze pro obecné informační účely.
Poradna v žádném případě neslouží jako náhrada odborné lékařské péče.
Poradna pomáhá se správným užíváním léčivých přípravků,
odhalit vzájemnou nesnášenlivost léčiv, při snížení výskytu nežádoucích,
vedlejších účinků léčiv a jako osvěta a zdroj informací.
Pokud si myslíte, že potřebujete lékařkou pomoc, okamžitě zavolejte svého lékaře nebo vytočte číslo 155.
|
|
|
|
|
| Aktuální diskuze - LÉKY |
Nejnovější příspěvky v diskuzi:
Prestance 5mg/5mg - PRESTANCE 5 MG/5 MG 20 Tablety Vložil: Jiří 2026-02-17 10:38:29
Dobrý den,
mohu brát idoplněk stravy DIABEN na stabilizaci krevního cukru, který bohužel obsahuje skořici ? Někde jsem četl, že skořice vadí PRESTANCE.
Díky za vysvětlení.Jirka... Zaldiar 20 neblahe ucinky - ZALDIAR 20 Potahované tablety Vložil: Markéta 2026-01-08 05:23:22
Měla jsem Zaldiar 20 po něm jsem mela akorát těstoviny s míchaných vajíčky šunkou parmezanem, po tem jsem vlezla do vany okamžitě se mi udělala vyrážka od kolen dolů která neskutečně pálila musela jsem z vany vylest bolesti sem brečela cítila jsem jak mi nohy... Houbove quarteto - TEREZIA COMPANY Houbové quarteto 100% houbový přípravek 60 kapslí Vložil: Katka Mašková 2025-11-24 17:28:12
Dobrý den,
Ráda bych se zeptala, zda je vhodné brát houbove quarteto s antidepresivy.
Děkuji velice ... Afluditen - AFLUDITEN 25 MG/ML 5X1ML/25MG Injekční roztok Vložil: Andrea Krulová 2025-11-12 12:05:01
Dobrý den můžu vědět jak přesně vám zničil život ? Protože mojí mamce taky,děkuji moc za odpověď ... Dávkování - SYNULOX 250 A.U.V. TBL 500 Vložil: Markéta 2025-11-02 16:45:21
Dobrý den, můj pes dostal antibiotika Synulox 250mg. První dávku dostal v 12h další v 24h. Je možné dávkování převést na 6:30h a 18:30h bezpečné jednorázově? Jestezbere večer Medrol.
Děkuji za odpověď.... |
| Aktuální diskuze - NEMOCI |
Nejnovější příspěvky v diskuzi:
akné na penisu - Pupínky u ochlupení Vložil: Luboš 2025-11-29 18:24:24
Akné a folikulitidou trpím dlouhodobě, lékaři odmítají řešit příčinu, to nemá smysl. Ale na penisu se mi dříve pupínky objevily vždy pouze po holení. Nyní jsem se dlouho neoholil a z ničeho nic se mi objevil na údu malý bílý pupínek s lehce červeným oko... Dostal som od Dr. Sacreho najlepší liek na zväčšenie penisu a problémy s neplodnosťou. - Prodloužení penisu Vložil: Jones 2025-08-15 14:55:53
Dostal som od Dr. Sacreho najlepší liek na zväčšenie penisu a problémy s neplodnosťou.
Pán Jones, som veľmi ohromený výsledkami bylinného lieku Dr. Sacreho! Môj penis je viditeľne väčší a hrubší a moja sebadôvera v spálni prudko vzrástla. Zlepšenie môj... Červené boláčky - Vyrážka / bradavičky na žaludu Vložil: Oto12 2025-05-28 01:00:42
Dobrý den,uz delší dobu se mi dělají červené pupínky boláčky nijak nebolí a necítím je.
Po pohlavním styku mam žalud načervenaly a pupínky jsou výraznější zenu po pohlavním styku nic ne náplní nesvědi žádné problémy nema dekuji za odpověď ... - Cysta na mozku miminka? Vložil: Monika Kelnarova 2025-05-02 17:07:13
Dobry den,chci se zeptat na ultrazvuku mi zjistili ze miminko ma na mozku cystu choroidalniho plexu v levo i vpravo,se chci zeptat co to znamena a zda za jak dlouho to zmizi a zda to neni vazny děkuji Kelnarova ... Výrůstky - Hirsuties papillaris/HPV Vložil: Martin 2025-04-21 16:18:15
... |
|
ABC-LEKARNA.cz - Online poradna, zkušenosti a recenze pacientů s užíváním léčivých přípravků, jaký lék nejlépe zabírá na Vaše nemoci a vedlejší nežádoucí účinky. Informační web o lécích na předpis, volně prodejných lécích a doplňcích.
Pokud si myslíte, že potřebujete lékařkou pomoc, okamžitě kontaktujte svého lékaře nebo vytočte číslo 155.
Informace zde zveřejněné jsou pouze obecné a nejesou náhradou odborné lékařské pomoci, diagnózy nebo léčby!
sitemap.txt
|